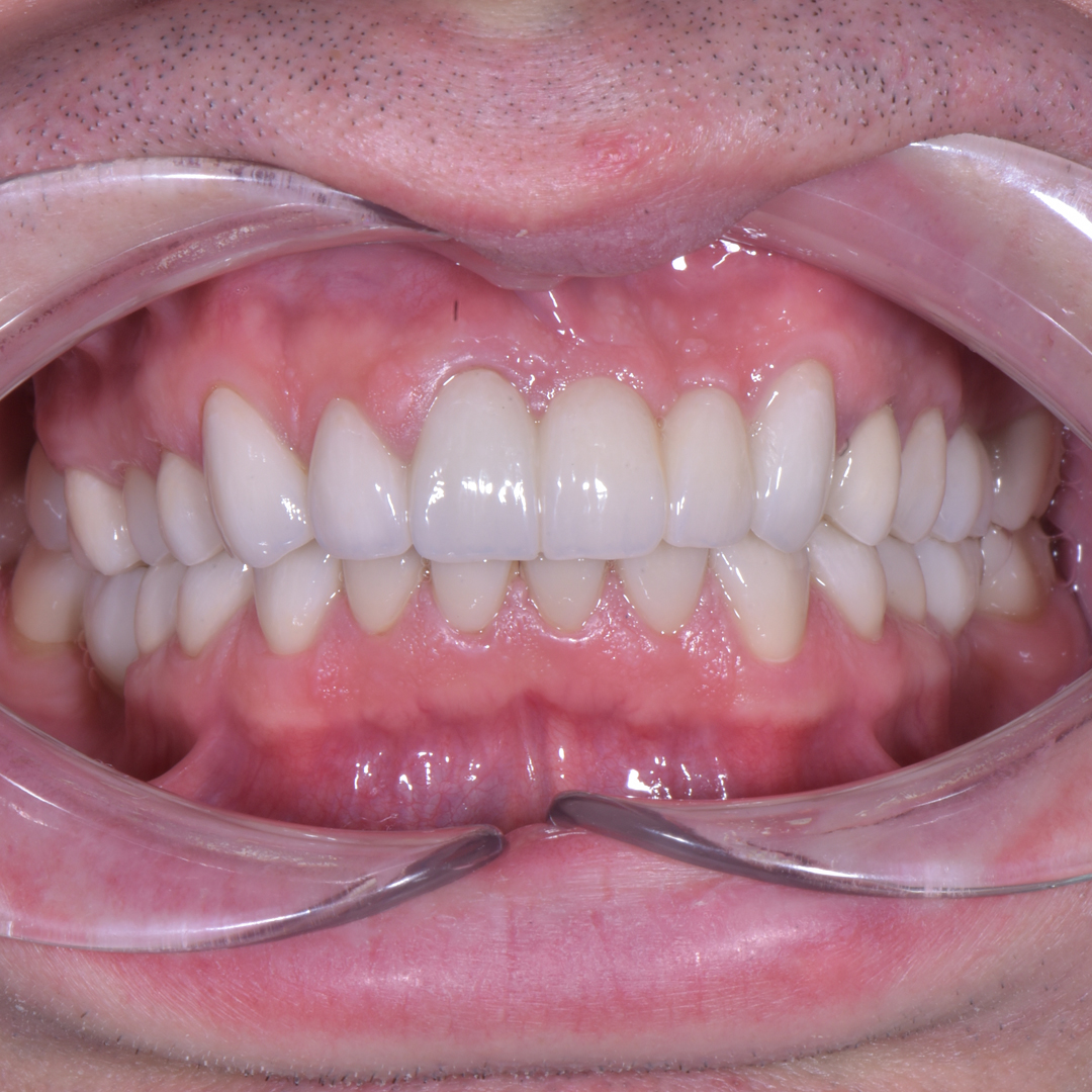
5 визитов — и новая улыбка!
Пациент обратился к нам с желанием навести порядок в полости рта.
На консультации сделали снимок и составили подробный план лечения «под ключ».
На старте: отсутствие жевательных зубов и неэстетичная зона улыбки.



Что сделали:
- Удалили 5 зубов
- Установили 8 имплантов
- Провели синус-лифтинг
- Вылечили 5 каналов
- Разработали цифровой дизайн улыбки
- Установили:
- 8 циркониевых коронок на импланты
- 10 безметалловых коронок
- 10 виниров из стеклокерамики E.max
Всего 5 визитов — и полный порядок во рту!
Результат



